歯周病は歯ぐきだけの病気じゃない!歯周病が引き起こす病気
こんにちは。各務原市蘇原新生町、名鉄「三柿野駅」より徒歩20分、JR「蘇原駅」より徒歩15分にある歯医者「中西歯科」です。

歯周病は歯ぐきの病気だと思っていませんか。歯茎や顎の骨などの歯周組織に影響が及ぶ病気ですが、全身の健康にも悪影響を及ぼすことがあるのです。
この記事では、歯周病のメカニズムや、歯周病が引き起こす病気について解説します。
歯周病とは

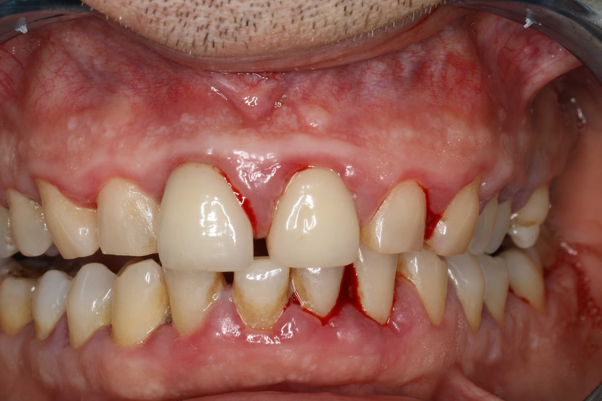
歯周病は、歯を支える歯ぐきや顎の骨といった組織に炎症が起こる感染症です。自覚症状が少ないため沈黙の病気とも呼ばれ、気づかないうちに重症化しやすいのが特徴です。
歯周病が進行すると、歯がぐらつくようになり最終的には歯が抜ける可能性もあります。これは、歯を支える骨が溶けていくためです。
歯周病の原因
歯周病は、主に歯と歯ぐきの間にたまったプラーク(歯垢)に含まれる細菌が原因となります。プラークは毎日の歯みがきで取り除けますが、磨き残しがあると、細菌が増殖していきます。
歯周病菌が産生する毒素によって、歯ぐきに炎症が起こると歯周病を発症します。
プラーク以外の原因としては、不規則な食生活や栄養バランス、喫煙、ストレス、そして全身の体調などが挙げられます。歯周病は細菌による感染症なので、免疫力が低下していると発症しやすくなるといえるでしょう。
歯周病の進行段階
歯周病は、歯肉炎と歯周炎の2つの段階を経て進行します。歯肉炎は、歯ぐきが赤く腫れたり、歯磨き時に出血したりする初期の段階で、炎症は歯ぐきのみに限られています。この段階で適切なケアを行えば、元の健康な状態に戻せることもあります。
しかし、放置すると歯周炎へと進行し、歯を支える骨(歯槽骨)にまでダメージが及びます。歯が浮いたような感じや、噛んだときに違和感が生じるなどの自覚症状が出てきます。この段階になると、歯科医師の専門的な治療が必要になります。
歯周病がさらに進行すると、歯槽骨の破壊が進み、歯がぐらぐらと動くようになります。最終的には、歯が抜け落ちる可能性もあるでしょう。
歯周病が引き起こす病気

歯周病は、初期段階ではほとんど自覚症状がなく、歯ぐきの腫れや出血といった軽度な症状から始まります。進行すると、歯を支える骨が破壊され、歯の喪失につながる可能性があります。
また、最近の研究によって、歯周病は単なる口の中の問題にとどまらず、全身の健康にも深く関わっていることが明らかになってきました。ここでは、歯周病が引き起こす可能性があるとされている病気をご紹介していきます。
糖尿病
糖尿病の人は、高血糖状態が続いて体の免疫機能が低下しやすく、細菌への抵抗力が落ちます。そのため、糖尿病の方は一般の方と比べて歯周病にかかりやすく、進行しやすいといわれています。
一方で、歯周病治療を行うことで炎症が改善され、インスリンの効きやすくなるという研究結果もあります。歯周病治療と糖尿病は互いに影響しあっており、どちらか一方だけのケアでは不十分といえるでしょう。糖尿病を患っている方は、歯周病も同時に治療・予防する必要があるのです。
心疾患
歯周病によって放出される炎症物質が血管を傷つけ、動脈硬化を促進すると考えられています。歯周病による炎症物質が血流に乗って全身を巡ることで、心筋梗塞や狭心症などの発症リスクが高まる可能性があるのです。
脳梗塞・脳出血
脳梗塞や脳出血も、歯周病が及ぼす悪影響のひとつです。歯周病によって生じた炎症物質が血液を通じて体内を巡り、血管に炎症を引き起こすと、脳梗塞や脳出血を引き起こすことがあります。
命に関わることもあるため、歯周病の治療を受けながら全身の健康管理も行いましょう。
認知症
歯周病が引き起こす病気のひとつが認知症です。近年の研究では、歯周病とアルツハイマー型認知症との関係が注目されています。歯周病菌の影響で増加する酵素の影響で、認知症を発症しやすくなると考えられているのです。
また、歯周病によって痛みがあったり歯を失ったりすると、咀嚼機能に大きな影響を及ぼします。噛む刺激が脳を活性化させることは知られていますが、歯周病によってよく噛めなくなることも、認知症を引き起こす一因と考えられるでしょう。
骨粗鬆症
骨密度が低下し、骨折しやすい状態になるのが骨粗鬆症です。骨粗鬆症の方は、歯周病のリスクが高まると考えられています。ホルモンバランスの変化や加齢により骨の質が弱くなるのと同様に、歯を支える顎の骨も弱くなり、歯周病による影響を受けやすくなるとされています。
誤嚥性肺炎
誤嚥性肺炎は、食べ物や飲み物が誤って気管へ入り込み、肺に細菌が届くことで発生する肺炎の一種です。特に高齢者に多くみられますが、その原因として歯周病の存在が注目されています。
口の中には、常に歯周病の原因となる細菌が存在しています。これらの細菌が誤って肺に入って増殖すると、肺炎を引き起こす原因となるのです。
早産・低体重児出産
妊娠中の女性が歯周病にかかると、早産や低体重児出産のリスクが高まります。歯周病により発生する炎症性物質が血液に入り込んで子宮に到達し、子宮の収縮を促すことがあるためです。
妊娠中の歯周病は赤ちゃんにとっても大きなリスクとなるため、注意しなければなりません。
歯周病を予防する方法

日々の予防が、歯ぐきと全身の健康を守る第一歩となります。ここでは、歯周病を防ぐために取り入れたい具体的な方法を紹介します。
正しい歯磨きを習慣化する
歯周病の主な原因は、歯垢(プラーク)に潜む細菌です。そのため、毎日のセルフケアが非常に重要になります。特に、歯と歯ぐきの境目にたまる歯垢をしっかり除去することが、歯周病対策には欠かせません。
大切なのは、正しいブラッシング方法を身につけることです。例えば、歯ブラシは歯と歯ぐきの境目に45度の角度で当てて、小刻みに動かすバス法を取り入れると良いでしょう。また、1日1回はフロスや歯間ブラシを使って、歯と歯の間の汚れまでしっかりと落とすことが大切です。
ただし、丁寧なブラッシングを心がけていても磨き残しは発生します。歯科医院でのブラッシング指導を受けることで、自分の磨き方の癖や改善点を知り、正しい歯磨きが習慣化しやすくなるでしょう。
生活習慣を見直す
歯周病を予防するためには、不衛生な口腔環境を放置しないことはもちろん、生活習慣も見直す必要があります。例えば、ストレスや睡眠不足は、免疫力の低下を招き、歯周病になるリスクを高めるだけでなく、歯周病を悪化させる恐れがあります。
全身の健康を守るためにも、生活習慣を見直し、免疫力を高めることが大切です。具体的には、バランスの良い食事、質の良い睡眠、適度な運動、禁煙、ストレスの軽減などを意識すると良いでしょう。
定期検診を受ける
歯周病は初期段階では自覚症状がほとんどないため、自分では気づきにくい病気です。そのため、予防のためにも定期的に歯科検診を受けることが欠かせません。
歯科検診では、歯周ポケットの深さのチェックや歯ぐきの状態、プラークや歯石の除去が行われます。3〜6か月に1回程度の検診を習慣化することで、歯周病の早期発見と早期治療が可能になり、重症化を防ぎやすくなります。
また、歯科医師や歯科衛生士のアドバイスを受けることで、正しいブラッシング方法やケア方法を身につけられるでしょう。
まとめ

歯周病は、見過ごされがちな口腔内の問題であると同時に、全身の健康にも大きな影響を与える怖い病気です。糖尿病や心疾患、認知症など、さまざまな病気との関連性が明らかになっています。
大切なのは、歯周病を単なる口の中の問題として捉えず、全身の健康管理の一環として正しく対処するという意識を持つことです。毎日の丁寧な歯磨きや生活習慣の見直し、そして定期的な歯科検診を習慣化することで、歯周病は十分に予防できるでしょう。
歯周病を予防したいとお考えの方は、各務原市蘇原新生町、名鉄「三柿野駅」より徒歩20分、JR「蘇原駅」より徒歩15分にある歯医者「中西歯科」にお気軽にご相談ください。
当院では、長年の経験で培った技術と日々の研鑽に基づき、虫歯治療から専門的な治療まで、お一人おひとりのお悩みに丁寧にお応えいたします。当院の診療案内ページはこちら、お問い合わせも受け付けておりますので、ご活用ください。